
















Live case discussions, lecture, Q&A, and implementation guidance to help troubleshoot real-world challenges.
Ongoing community support to help you consistently apply what you've learned, refine your treatment planning skills, and gain confidence in executing more complex cases.
Real accountability through structured follow-ups, goal setting, exercises, mentorship and live case discussions, ensuring you’re applying what you learn and making progress
Mentorship session start on November 7 to 8, 2026 Wednesday 10 am EST




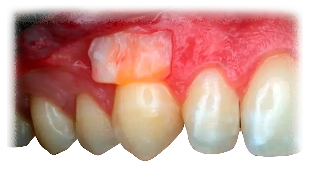
Participants gain a clearer understanding of when soft tissue grafting is appropriate and how these procedures can begin to fit into everyday clinical practice.

This program highlights the principles behind these steps and demonstrates how experienced clinicians approach them to achieve stable and esthetic results.



You are an associate or a practice owner who wants to develop a comprehensive, predictable approach to third molar extractions.
You've taken courses (and maybe even a continuum) but don't know how to implement into daily practice.
You want to increase the predictability of your surgical skills and extractions
You want to reduce failures and improve long-term outcomes.
You’re ready to take on bigger, more complex third molar extractions.
You prefer to passively watch lectures without applying what you learn in practice.
You are looking for shortcuts instead of developing a structured approach to thirdmolar extractions.
You are satisfied with maintaining the same surgical workflow and are not interested in improving your approach to third molar removal.
Connect with other dentists who have taken the program, ask questions, and get feedback on your cases.
The Course Karma team will support you (and annoy you) to ensure you stay accountable and reach your goals.
Special pricing on future MAP programs and courses.
Extended access to recorded masterclasses from educators like Kois, Spear, and others.
Accelerated Learning Phase
Implementation Phase
Group Mentorship by Dr. Amanda & Dr. Adamo
Real accountability through structured follow-ups, goal setting and exercises ensuring you’re applying what you learn and making progress.
Live case discussions, Q&A, and implementation guidance to help troubleshoot real-world challenges.
1 FREE Year of Course Karma MAP Membership ($795 value)
Community Chat- Connect with dentists on the same journey as you, discuss cases, get support and real-time feedback.
Exclusive Discounts – Special pricing on future MAP programs
Extended Access to Masterclasses – Learn from Dr. Kois, Spear, and others with recorded sessions
Accelerated Learning Phase
Implementation Phase
Group Mentorship by Dr. Amanda & Dr. Adamo
Real accountability through structured follow-ups, goal setting and exercises ensuring you’re applying what you learn and making progress.
Live case discussions, Q&A, and implementation guidance to help troubleshoot real-world challenges.
1 FREE Year of Course Karma MAP Membership ($795 value)
Community Chat- Connect with dentists on the same journey as you, discuss cases, get support and real-time feedback.
Exclusive Discounts – Special pricing on future MAP programs
Extended Access to Masterclasses – Learn from Dr. Kois, Spear, and others with recorded sessions
Follow the complete training at your own pace and build the systems to plan, prepare, and execute predictable Soft tissue grafting procedures
Join a small mentorship cohort with Dr. Abbas Hassanali alongside other aspiring and inspiring dentists.
FAQs
Got Questions? Find Answers to Enhance Your Learning Journey!
Key benefits of MAP include:
-Accelerator and Implementation Phases
-Group Mentorship
-Accountability Check-Ins and Goal setting
-Live case discussions & Q&A
-Exercises and implementation guidance
-1 Free Year of Course Karma MAP Membership: Join a Community of like minded dentists
-Discounts and FREE Extended access to Masterclasses
This program is ideal for those who have taken CE courses before but struggle to apply concepts in practice.
This program combines structured learning with mentorship and accountability. Participants receive group mentorship, ensuring they not only learn theoretical concepts but also integrate them into their clinical practice.
The live sessions are scheduled on specific dates, and recordings will be made available to participants who cannot attend (for a limited time)
No prerequisites are needed.
The program includes live sessions on scheduled dates, but recordings are available for later viewing, providing flexibility for participants.
Yes, if you want to continue your learning and gain access to additional mentorship, you can upgrade to a higher-tier program. Contact us for more details on available options.
This program offers a continuum of lectures plus mentorship. It takes a holistic approach by combining mentorship, accountability, and community. It’s not just about learning but implementing CE into real-world practice with group mentorship and the support of peers who ensure you stay on track.
Yes, the program includes live case discussions and Q&A segments during the implementation phase.
Yes, the program features real clinical case discussions to help participants apply their knowledge in practice.
Since the program uses Zoom for live sessions, it should be accessible on mobile devices, and you can also check the recording of each session through the Course Karma mobile app.
If you encounter any technical issues on the mobile app or accessing the course or recordings, you can always email michael.v@coursekarma.com for assistance
Please inquire for more details by emailing us at hello@coursekarma.com.
More than 14 days before the program start date:
Participants are eligible for a full refund.
Within 14 days of the program start date up until the program begins:
Participants are eligible for a 50% refund.
Once the program has started (cohort start date and onward):
No refunds will be issued.
Yes, the program encourages interaction through group mentorship, live Q&A sessions, and a community of motivated dentists via the Course Karma app.