


Case Selection: Learn simple criteria to distinguish routine restorative cases from interdisciplinary ones.
Staging Treatment: Learn how to stage treatment to fit your patient’s budget and life
Integrated Treatment Planning: Learn how to integrate different disciplines effectively to create predictable long-term outcomes.




We're committed to your privacy. Course Karma uses the information you provide to us to provide reminders and contact you about our relevant offers. You may unsubscribe from these communications at any time. For more information, check out our Privacy Policy.

Practical, Actionable Steps – Walk away with a structured approach that you can implement immediately in your practice.
Real-World Case Studies – See real examples of successful comprehensive cases
Live Q&A with Dr. Paresh Shah – Get your questions answered by an expert with over 30 years of experience.
This presentation will highlight key principles for effectively staging treatment. Through a clinical case evaluation, we will identify clear criteria for determining when multiple disciplines are needed.
By applying these criteria, practitioners can enhance predictability in treatment staging across various modalities.
This session will feature real-world clinical conditions commonly seen in practice, Participants will learn with a simple yet powerful framework they can immediately apply to their treatment planning process.


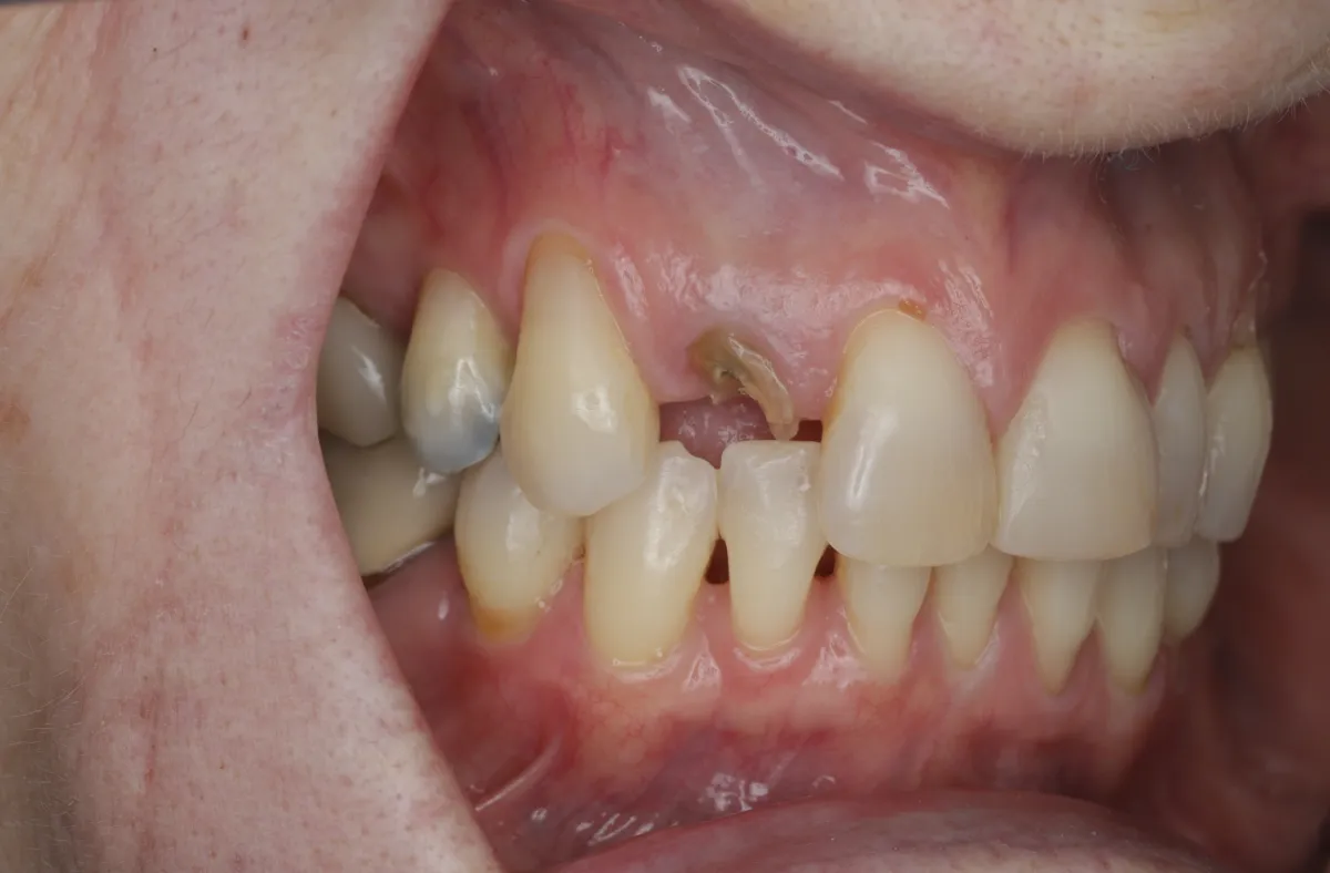
Last Tooth in the Arch Syndrome
Spot patients at risk of bite collapse: "I prepped the occlusal - but where did the space go?!"

When to Avoid Lengthening Teeth
Recognize these specific wear patterns to save your cosmetic cases from failing.

Treating Tight Envelope of Function
Diagnose this commonly missed wear pattern that can cause catastrophic restorative failures.
Plus 2 more Red Flags to watch out for

We're committed to your privacy. Course Karma uses the information you provide to us to provide reminders and contact you about our relevant offers. You may unsubscribe from these communications at any time. For more information, check out our Privacy Policy.

Dr. Paresh Shah maintains a private practice in Winnipeg, Canada with a focus on implant, cosmetic and interdisciplinary care. He graduated from the University of Manitoba in 1991.
Dr. Shah has a proficiency certificate in Esthetic Dentistry from the University of Buffalo (SUNY) in 2007 and a Masters in Physiology from the University of Manitoba in 1987. He is also a graduate of the Misch Implant Institute Prosthetic Program and the Kois Center in Seattle.
Dr. Shah serves as a consultant for numerous dental manufacturers in product development and evaluations. He is a founder and co-director of an interdisciplinary Two Rivers Dental Study Club in Winnipeg, a Seattle Study Club affiliate. He has used digital technology in his practice for over 18 years and provided over 400 lectures globally on all aspects of restorative, interdisciplinary care and digital dentistry.

Hey there, my name is Aly. I’m a dentist in Toronto, Canada and the Founder of Course Karma. After graduating dental school I found it challenging to decide what CE to take….I asked myself:
Where can I go to find courses?
Which courses are better than others?
Will I be able to use what I learnt in the clinic on Monday?
I realized that the only way to answer these questions was to ask my peers from my dental school, a group of 56 students who were also asking the same questions.
And so I started to build Course Karma, a platform for dental CE. A place where dentists can go to view the best CE available and read course reviews. But Course Karma is more than just a platform. It’s a movement where dentists help each other find the best CE.
Thank you for being a part of our journey. Together, we can improve dental CE and dentistry as a whole.
General Dentists – Looking to break free from single-tooth dentistry and improve case outcomes.
Early-Career Dentists – Seeking a framework to diagnose and provide comprehensive care.
Advanced Practitioners – Wanting to refine their ability to stage treatment and work seamlessly with specialists.

Key criteria for identifying challenging cases and improving treatment predictability.
Real-world case studies demonstrating effective staging and interdisciplinary workflows.
Practical frameworks you can apply immediately to enhance treatment planning.
📍 Location: Ondemand Webinar

Copyrights 2024 | Course Karma Inc