


Facially Generated Treatment Planning - beginning with esthetics in mind
Understanding Challenging Cases - including deep overbites, pathway wear, anterior open bites, and posterior wear.
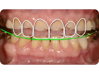
Identifying and Addressing Pathway Wear- An insidious and often missed wear pattern
Case Analysis and Treatment Options - understanding underlying issues, and exploring treatment options, from orthodontics to surgical interventions.


Plan with Esthetics in Mind

Address Different Wear Types

Treat Challenging Occlusions


We're committed to your privacy. Course Karma uses the information you provide to us to provide reminders and contact you about our relevant offers. You may unsubscribe from these communications at any time. For more information, check out our Privacy Policy.

Dr. Spear is the co-founder and director of Spear Education and is
globally renowned for his expertise in esthetic and restorative dentistry
. He obtained his dental degree from the University of Washington in 1979 and an M.S.D. in periodontal prosthodontics in 1982.
Throughout his career, Dr. Spear has received several accolades, including:
The Christensen Award (1993) for Excellence in Restorative EducationAn special award from the American
Academy of Cosmetic Dentistry (1995) for enhancing cosmetic dentistry in the U.S.
The Saul Schluger Memorial Award (1996) for Excellence in Diagnosis and Treatment Planning from the Seattle Study Club.
Awarded the first-ever President’s Award (2003) for excellence in education from the American Academy of Esthetic Dentistry, jointly with Vincent G. Kokich.
The Charles Pincus-Ronald Goldstein Lifetime Achievement Award (2018) from the American Academy of Esthetic Dentistry.all Call to Action Headlinesome stuff
Professionally, apart from his role at Spear Education, he is an affiliate professor in graduate prosthodontics at the University of Washington and runs a specialized private practice in Seattle with Dr. Greggory Kinzer. Dr. Spear also conducts lectures globally and is affiliated with several dental organizations. Notably, he is a past president of the American Academy of Esthetic Dentistry.

Hey there, my name is Aly. I’m a dentist in Toronto, Canada and the Founder of Course Karma. After graduating dental school I found it challenging to decide what CE to take….I asked myself:
Where can I go to find courses?
Which courses are better than others?
Will I be able to use what I learnt in the clinic on Monday?

Copyrights 2023 | Course Karma Inc